CASE STUDY

Dental Makeovers

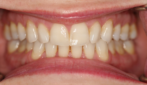
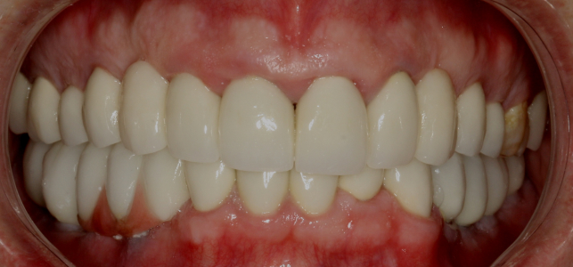
Case Study 1

Before
After

CASE STUDY 2

Before
After

Case Study 3

Before
After

Case Study 4

Before
After
Share on facebook
Facebook
Share on twitter
Twitter
Share on linkedin
LinkedIn