CASE STUDY

SMILE MAKEOVERS:​

If a patient requires major treatment due to broken, missing or decayed teeth Dr. Hornsby will create a smile makeover and complete reconstruction. Depending on a patient’s needs a smile makeover may include porcelain crowns, veneers, implants or a combination of these options. A new smile is life-changing.

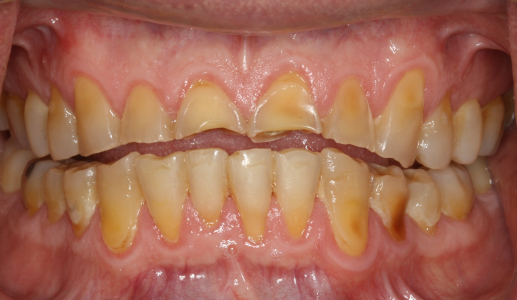
Case Study 1

Before
After
After

Case Study 2

Before
After

Case Study 3

Before
After

Case Study 4

Before
After

Case Study 5

Before
After

Case Study 6

 

AFTER

Before

AFTER
Share on facebook
Facebook
Share on twitter
Twitter
Share on linkedin
LinkedIn